“巨鹰拍翼”(港译:“天鹰之翅”,Wings Of Eagles),出生在法国,受训于爱尔兰著名练马师岳伯仁(Aidan O'Brien)。“巨鹰拍翼”以40-1赔率大爆冷逆袭拿下今年英国叶森德比(Epsom Derby,一级赛)冠军,一时声名大噪。要知道赛前“巨鹰拍翼”可是没有赢过任何一场锦标赛。但不幸的是,上周六(7月1日)在克拉赛马场(Curragh Racecourse)举行的爱尔兰德比(Irish Derby)中,“巨鹰拍翼”虽跑出第三的好成绩,却意外受伤,赛后被检出左前籽骨骨折,赛马生涯将被迫提前结束。

▲图片来源Racing Post。

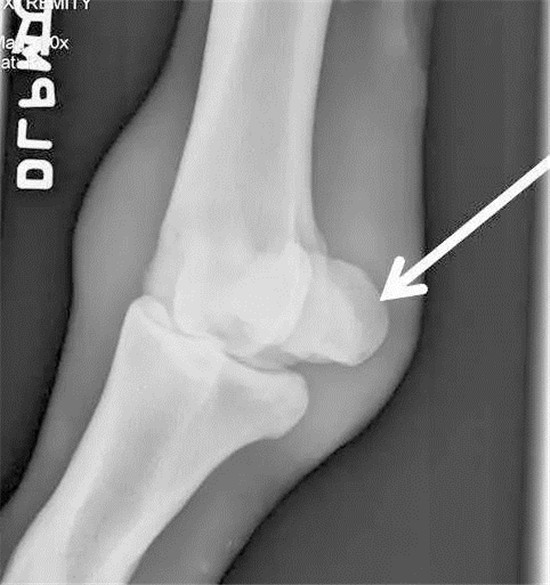
▲“巨鹰拍翼”近端籽骨骨折X光下摄片,图片来源Racing UK。
战绩回顾
科普:籽骨骨折
发光发热之战:叶森德比
(德比大赛鼻祖,英国奖金最高赛事)
叶森德比(Epsom Derby),又称英国德比锦标赛(Derby Stakes)、天达德比(Investec Derby),港译为叶森打吡。是只限三岁纯血马(除骟马)角逐的英国奖金最高赛事。叶森德比在今年6月3日英国叶森马场举行,全程约2423米,总奖金150万英镑,折合人民币约1315万元。

▲图片来源Racing Post。
为何“巨鹰拍翼”赛前为大冷门?原因有二。一就是前面提及“巨鹰拍翼”过去并没有赢过任何大赛头马;其次是这场叶森德比中,岳伯仁马房下马匹就多达4匹,其中还包括刚收获第河锦标(Dee Stakes)冠军的大热门“莫赫悬崖”(Cliffs Of Moher)。当然在比赛过程中,“莫赫悬崖”确实表现十分优秀,最后百米一直领先,但意想不到是大家眼中陪跑的“巨鹰拍翼”竟然在最后顶住压力,连续超越前方马匹,一举夺冠。这真真是爆大冷啊。

▲图片来源TDN。
“巨鹰拍翼”获胜绝不是偶然,只能说它之前参与大赛的机会不多,能力还没有充分发挥。看看它的父系“人人为我”(Pour Moi),可是2011年英国叶森德比盟主。结合血统证明“巨鹰拍翼”是一只极具潜力的长途程赛驹。

▲图片来源Winners Enclosure。
“巨鹰拍翼”血统信息
马匹名称:“巨鹰拍翼”(港译:“天鹰之翅”,Wings Of Eagles)
出生时间:2014年3月17日
出生国家:法国
性别:公马
毛色:骝色
父系:“人人为我”Pour Moi(爱)
母系:Ysoldina(法)
外祖父:Kendor(法)
祖父:“望族”Montjeu(爱)
战绩:7战2胜2位
总奖金:1,075,441英镑(折合人民币约949万元)
成绩记录:
2017/05/11 MBNA Chester Vase Stakes(G3) 草地2471米 第二名
2017/06/03 叶森德比Epsom Derby(G1)草地2423米 第一名
2017/07/01 爱尔兰德比Irish Derby(G1)草地2400米 第三名
2
止步之关:爱尔兰德比
(爱尔兰奖金最高赛事)
叶森德比结束后,“巨鹰拍翼”趁势转战7月1日的爱尔兰德比。由于叶森德比作铺垫,“巨鹰拍翼”成为赛前热门之一,备受关注。而同马房的青马“卡帕利岛”(Capri)在出战同场叶森德比时只取得第六名的成绩,却夺爱尔兰德比冠军,“巨鹰拍翼”仅仅落后一马颈的距离。意外再次降临,赛后检查发现“巨鹰拍翼”左前腿籽骨骨折,宣布即将结束赛马生涯。

▲图片来源Racing Post。
岳伯仁说道:“这是一个让人震惊的消息。‘巨鹰拍翼’有严重的籽骨骨折,它的赛马生涯就此结束。它明显是一匹非常优秀的小公马,在叶森德比和爱尔兰德比中都展露无遗。在受伤发生突然的情况下,它已经尽全力了。这是一个巨大的损失。”

▲图片来源Racing UK。
虽说练马师岳伯仁凭着著名种公马“天文学家”(Galileo)之子“卡帕利岛”赢得了自己的第12个爱尔兰德比冠军,但却在赛后失去了一颗刚冉冉升起的新星“巨鹰拍翼”。
战绩回顾
科普:籽骨骨折
籽骨在哪里?
马一共有12块籽骨,每肢各有3块,分别为2块近端籽骨和1块远端籽骨。近端籽骨位于前后肢球节(Fetlock)掌侧,即第三掌骨和第一指骨的交界掌侧;而远端籽骨则位于冠关节(DIP关节)掌侧。即第二指骨和第三指骨交界掌侧,因远端籽骨外形像一片小舟,因此又称为舟状骨。
术语太专业,二货搞不懂,直接上图!
1.先缩小范围在红框部位

▲马匹大体解剖示意图

▲实物对照
2.找到球节和冠关节

▲示意图(前肢)

▲实物对照
3.找到近端籽骨和远端籽骨

▲示意图(前肢)

▲实物对照
籽骨骨折
籽骨是支持装置的一部分。悬韧带在球节部位走向分成两侧支,分别在两端近端籽骨侧面牵引。在马匹快速运动的过程中,球关节重复性过度伸展或者受外力作用,籽骨可发生疲劳性损伤或者外力损伤。常发于运动马匹,前肢多发。


▲近端籽骨和悬韧带
说实话,球节这个部位受伤一点也不奇怪。有时候当马匹跑起来时,球节发生明显的屈曲,有时候甚至下沉到于地面接触,这时候马匹球节会受到明显的外力作用。若外力很大,籽骨有可能发生粉碎性骨折,这种时候马匹可能就会直接做“安乐死”处理。

▲X光拍摄马匹球节部位
症状
A.出现急性跛行,跛行程度视骨折片的大小及悬韧带受损的程度而定。
B.触诊籽骨部位疼痛。在12-24h内球节掌侧伴有不同程度的肿胀。
C.X线检查一般可确诊骨折程度。

▲正常近端籽骨侧位图

▲“巨鹰拍翼”近端籽骨骨折斜位图,可发现近端籽骨明显裂开。图片来源Racing UK。
本文来自第一赛马网,转载请注明出处!






